باور قدیمی در مورد استحکام ناکافی پرکردگی‌ های سفید وجود داشت ولی واقعیت این است که امروزه ترمیم‌ های باند شونده به دندان و کامپوزیت‌ ها با پیشرفت علم و تکنولوژی انقلابی در صنعت دندانپزشکی محسوب میشوند.
کامپوزیت‌ های امروزی دارای استحکام، زیبایی، تنوع رنگ و قابلیت پالیش شدن عالی هستند . اگرچه مواد پرکردگی سفید دندان ویژگی‌ های منحصر به فردی دارد اما در عین حال از حساسیت تکنیکی بالایی هم برخوردار است. به عبارتی اینکه دندانپزشک از چه برندی از کامپوزیت استفاده کند و مراحل کار را به طور اصولی و علمی پیش ببرد در ماندگاری کامپوزیت ونیر حائز اهمیت است.

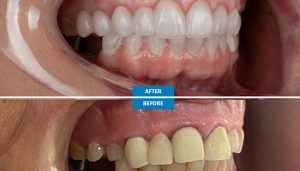
کامپوزیت دندان چه کاربرد هایی دارد؟

کامپوزیت دندان برای پر کردن دندان (ترمیم)، چسباندن براکت‌ های ارتودنسی، اصلاح شکستگی و لب پریدگی دندان‌ ها، بستن فواصل بین دندان‌ها (دیاستم) ، بازسازی دندان‌ های عصب کشی شده و اصلاح طرح لبخند یا ونیر به کار می‌رود.

آیا کامپوزیت دندان باعث جلو آمدن فک میشود؟

برای انجام ونیر کامپوزیتی اغلب نیازی نیست که دندان تراش داده شود. اگر رابطه فکی شما به صورتی است که فک بالا بیرون زده‌ تر از فک پایین می‌باشد؛ شما فرد مناسبی برای انجام کامپوزیت ونیر نمی‌باشید.زیرا یک لایه کامپوزیتی به ضخامت حدود نیم میلی‌ متر هم روی دندان‌ های شما قرار خواهد گرفت و بدین ترتیب بیرون زدگی دندان‌ های فک بالا مشخص‌تر می‌شود.

گاهی اوقات بیماران درخواست انجام کامپوزیت ونیر با رنگ بسیار روشن را دارند. در این صورت لازم است که ضخامت بیشتری از کامپوزیت بر روی دندان قرار بگیرد تا رنگ زردتر دندان خود فرد را پوشش دهد.

این حالت یک نمای غیر طبیعی، ناخوشایند و بیرون زده ایجاد می‌کند. اگر بیمار اصرار به داشتن دندان‌ های بسیار سفید داشته باشد و نخواهد دندان‌ هایش بیرون زده شود درمانگر مجبور به تراش دادن از سطح دندان خود فرد می‌شود که کاری غیر اصولی و غیرعلمی است.

ما به عنوان دندانپزشک به سلامت دندان و البته زیبایی آن اهمیت می ‌دهیم ولی نمی‌توانیم به دلیل پیروی از مد یا خواسته بیمار با تراش زیاد و غیر اصولی سلامت دندان فرد را به خطر بیندازیم.

عوارض کامپوزیت دندان چیست؟

در صورتی که کامپوزیت ونیر به صورت اصولی و علمی با استفاده از مواد و متریال مناسب انجام شده باشد درمانی مطمئن و ایمن است و عارضه ای ندارد. اما چنانچه از متریال مرغوب استفاده نشود یا درمانگر پروتکل‌های علمی را مد نظر قرار ندهد (به عنوان مثال میزان نورردهی نامناسب باشد، اتصال کامپوزیت به دندان در محل لثه بیرون زده باشد، نخ دندان از میان دندان‌ها به خوبی عبور نکند) می‌تواند باعث التهاب لثه، بوی نامطبوع دهان، پوسیدگی و غیره شود.

لک شدن کامپوزیت دندان

در صورتی که شما سیگار استعمال می‌کنید یا نوشیدن چای و قهوه بخشی از روزمرگی شماست بهتر است به سراغ کامپوزیت ونیز نروید لمینت سرامیکی را انتخاب نمایید زیرا این مواد می‌توانند بر رنگ کامپوزیت تاثیرگذار باشند و در طی زمان از درخشش آن کم کنند ولی سرامیک‌ ها به هیچ عنوان رنگ پذیر نیستند و همواره رنگ اولیه خود را حفظ خواهند کرد.

کامپوزیت‌ ها قابلیت پالیش شوندگی دارند و می‌توان هرازگاهی آنها را پالیش نمود و رنگدانه‌ های رسوب کرده روی آنها را با پالیش از میان برد.

عوامل تاثیرگذار بر افزایش عمر کامپوزیت دندان

مهم‌ ترین مسئله رعایت بهداشت است. مسواک زدن مناسب و اصولی و استفاده از نخ دندان باعث افزایش عمر دندان و طبیعتاً افزایش ماندگاری کامپوزیت ونیر خواهد شد. لازم است بدانیم در صورتی که با دندان‌ های مواد غذایی سفت مانند تخمه، آجیل و ته دیگ گاز بزنیم؛ احتمال لب پر شدگی و پریدگی کامپوزیت در طول زمان بیشتر خواهد شد. نوع و برند کامپوزیت مورد استفاده و رعایت پروتکل‌ های علمی و اصولی ضمن انجام درمان کامپوزیت هم در افزایش عمر و ماندگاری کامپوزیت تاثیرگذار است.

بهترین رنگ کامپوزیت دندان

در انتخاب رنگ دندان فاکتور های مختلفی مانند رنگ چهره، رنگ فعلی دندان‌ های فرد، سن، جنس و … دخیل است. بهتر است تصمیم گیری در انتخاب رنگ دندان با توجه به خواست و نظر بیمار و با صلاحدید دندانپزشک صورت گیرد.

انواع رنگ کامپوزیت دندان

مراقبت‌های پس از کامپوزیت

بعد از انجام کامپوزیت ونیز تا ۴۸ ساعت از خوردن و آشامیدن مواد غذایی رنگی مانند رب گوجه، چای، نوشابه و …خودداری نمایید. پس از انجام ونیز بهتر است با دندان‌های جلو مواد غذایی سفت و سخت مانند آجیل و تخمه را نجویم زیرا این مواد همینطور که می‌توانند سبب آسیب به دندان‌های طبیعی شوند (ایجاد ترک و سایش) گاهاً سبب لب پریدگی و آسیب کامپوزیت می‌شوند و ماندگاری آن را کاهش می‌دهند

آیا می‌شود کامپوزیت دندان را برداشت و عوارض پس از برداشتن کامپوزیت چیست؟

از ویژگی‌ های کامپوزیت ونیر این است که اغلب نیازی به تراش سطح دندان ندارد لذا این امکان وجود دارد که کامپوزیت را از سطح دندان برداریم. البته باید دقت نمود حین برداشتن کامپوزیت به آرامی و با وسایل مخصوص عمل شود تا ناخواسته سطح دندان تراش داده نشود.

در صورتی که کار ونیز صحیح انجام شده باشد، برداشتن کامپوزیت با عارضه خاصی همراه نیست. اما چنانچه ونیز به صورت اصولی انجام نشده باشد پس از برداشتن کامپوزیت با سطح زیادی از دندان تراش خورده مواجه می‌ شویم که دندان از نظر ظاهر بدون پوشش مناسب به نظر می‌رسد حساس می‌شود و همچنین مستعد پوسیدگی خواهد بود.
در این موارد لازم است پس از برداشتن و ریمو کامپوزیت مجدداً کامپوزیت ونیر یا لمینت به صورت اصولی روی دندان قرار بگیرد. انتخاب یک درمانگر مناسب می‌تواند از ایجاد این مشکلات جلوگیری نماید.

کامپوزیت دندان‌های جلو

برای اصلاح نواقص دندان‌های جلویی می‌توان از کامپوزیت استفاده نمود. به عنوان مثال در صورتی که بین دندان‌های جلویی فاصله وجود داشته باشند می‌توان با کامپوزیت این فواصل را به بهترین فرم بست. همچنین در مواردی که دندان به دنبال تروما و ضربه دچار لب پریدگی و شکستگی شود با کامپوزیت ترمیم می‌شود. اگر دندان‌های جلو ناقرینگی در سایز و فرم داشته باشند، یا لبه‌های آنها مضرس و نامنظم شده باشد با کامپوزیت به صورت ایده‌آل در خواهند آمد. در مواردی که ترمیم نامناسب قبلی یا درمان ریشه انجام شده است و دندان‌ها دچار تغییر رنگ شده باشند نیز با کامپوزیت قابل اصلاح می‌باشند. اگر فقط به دنبال اصلاح یک یا چند دندان جلویی هستید باید توجه کنید که دندانپزشک شما این دندان‌ها را با رنگ و حالت کاملاً طبیعی فرم دهد.

4 عاملی که باعث مصنوعی به نظر رسیدن کامپوزیت دندان می شود

  • انتخاب رنگ نامناسب که با چهره، رنگ صورت، سن و جنس فرد هماهنگی ندارد
  • ایجاد شکل و آناتومی دندان که با چهره و ویژگی‌های شخصیتی فرد همگام نیست
  • انجام کار غیرحرفه‌ای مانند دندان‌های به هم چسبیده که نخ دندان از بین آنها عبور نمی‌کند یا دندان‌های برجسته که باعث التهاب و قرمزی لثه می‌شود
  • استفاده از کامپوزیت با برندهای ارزان قیمت که شفافیت ندارد و رنگ و نمای مصنوعی ایجاد می‌کند